Ortodoncia en Palma de Mallorca
Ortodoncia
Ortodoncia en Palma de Mallorca para mejorar tu sonrisa y tu salud dental
Mucho más que estética
La ortodoncia es la especialidad encargada de corregir la posición de los dientes y la mordida, mejorando no solo la apariencia de la sonrisa, sino también funciones clave como la masticación y la fonación. Un correcto alineamiento dental contribuye a una boca más sana y a una mejor higiene a largo plazo.
En Clínica Llibertat abordamos cada tratamiento de ortodoncia desde un estudio previo completo, analizando la situación de la boca y diseñando un plan adaptado a las necesidades reales de cada paciente. No existen dos sonrisas iguales, por eso el tratamiento siempre se ajusta de forma personalizada.
Durante todo el proceso, el paciente recibe información clara y acompañamiento profesional, para que sepa qué esperar en cada fase del tratamiento y pueda vivirlo con tranquilidad y confianza.
Corrige tu mordida con nuestro tratamiento de ortodoncia en Palma de Mallorca
La ortodoncia con brackets es una de las opciones más eficaces para corregir una amplia variedad de problemas dentales. Este sistema permite realizar movimientos controlados y precisos, siendo especialmente indicado en casos de apiñamiento, desalineaciones o alteraciones de la mordida más complejas.
Los brackets pueden ser metálicos o cerámicos, y se colocan de forma fija sobre los dientes, conectados mediante arcos que se ajustan progresivamente. Aunque son visibles, su eficacia y fiabilidad los convierten en una opción muy utilizada y con resultados estables en el tiempo.
Este tipo de ortodoncia permite un alto nivel de control durante el tratamiento y es adecuada tanto para adolescentes como para adultos que buscan una corrección completa y bien planificada.
Alinea tus dientes con nuestra ortodoncia en Palma de Mallorca
La ortodoncia invisible es una opción cada vez más demandada por quienes desean corregir la posición de sus dientes de forma discreta. Se basa en el uso de alineadores transparentes, fabricados a medida, que se adaptan progresivamente a la dentadura para lograr el alineamiento deseado.
Al ser removibles, estos alineadores facilitan la higiene bucodental y permiten comer con normalidad, lo que los convierte en una alternativa cómoda para el día a día. Están indicados principalmente en casos leves o moderados, aunque siempre es necesaria una valoración previa para confirmar su idoneidad.
Este sistema permite combinar eficacia y estética, ofreciendo una experiencia de tratamiento más flexible sin renunciar a resultados visibles y funcionales.
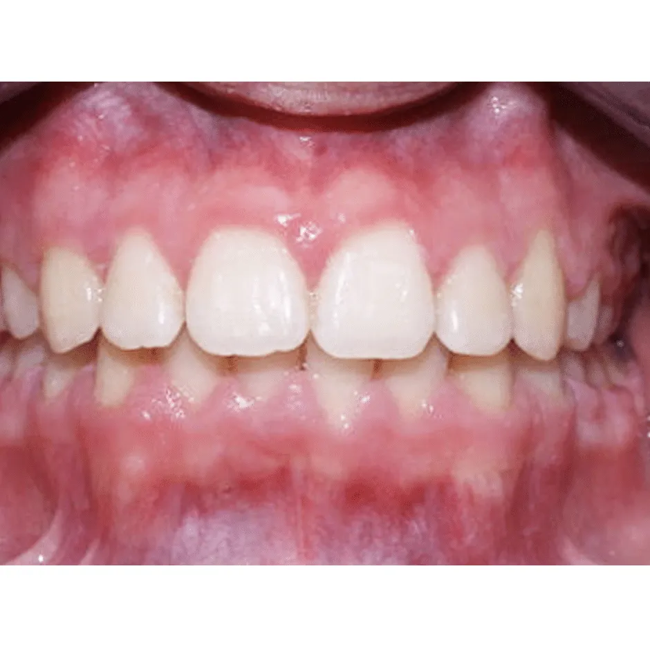
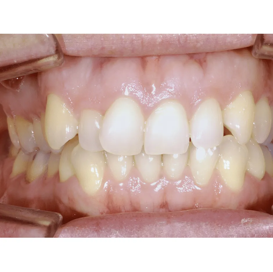
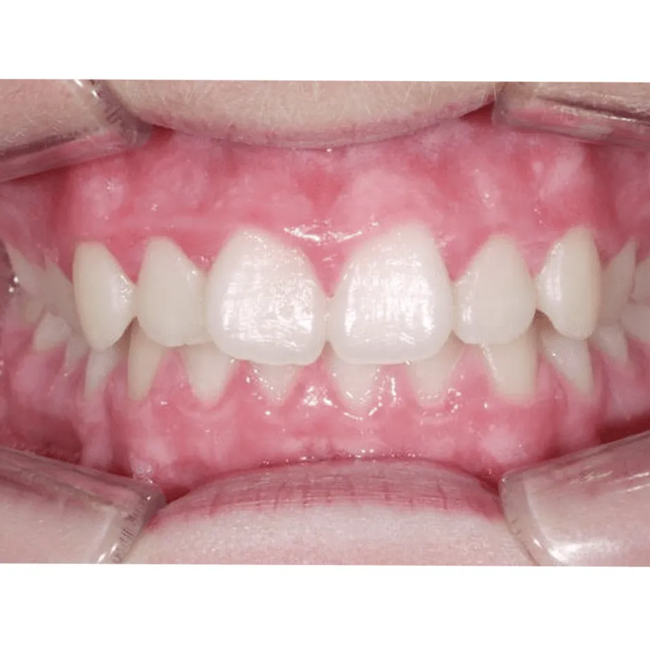
Antes y después de nuestra ortodoncia en Palma de Mallorca
Antes y después


Preguntas frecuentes sobre nuestro tratamiento de ortodoncia en Palma de Mallorca
Preguntas frecuentes
Antes de iniciar un tratamiento de ortodoncia, es habitual tener preguntas sobre el proceso, la duración o las opciones disponibles. A continuación respondemos a las dudas más comunes para ayudarte a decidir con tranquilidad.
¿Qué problemas corrige la ortodoncia?
La ortodoncia corrige malposiciones dentales, apiñamientos, separaciones entre dientes y alteraciones de la mordida. Además, ayuda a mejorar funciones como la masticación y la fonación, y facilita una mejor higiene bucodental.
¿Qué tipo de ortodoncia es mejor para mí?
Depende de cada caso. Factores como la complejidad del problema, la edad y las preferencias estéticas influyen en la elección del tratamiento. Tras el estudio inicial, se recomienda la opción más adecuada de forma personalizada.
¿Cuánto dura un tratamiento de ortodoncia?
La duración varía según el caso y el tipo de ortodoncia. Puede oscilar desde varios meses hasta más de un año. Desde el inicio se ofrece una estimación orientativa basada en el estudio clínico.
¿La ortodoncia duele?
Es normal notar molestias leves al inicio del tratamiento o tras algunos ajustes, pero suelen ser temporales. En general, el tratamiento es bien tolerado y compatible con la rutina diaria.
¿Los resultados se mantienen en el tiempo?
Sí, siempre que se sigan las indicaciones finales del profesional, como el uso de retenedores. Esto ayuda a conservar la alineación conseguida y a evitar movimientos indeseados.
Contacta con nosotros
Si tienes alguna duda o quieres comenzar tu tratamiento dental con un equipo cercano y especialista, estamos aquí para ayudarte. Completa el formulario y nos pondremos en contacto contigo lo antes posible para ofrecerte la atención que necesitas.
Email:
info@clinicallibertat.es
Teléfono
971 90 19 09
Móvil
655 765 509
Horario:
Lunes a viernes 09:00 a 17:00 h